



Weisheitszahn als Schmutznische für Zahnstein ...



Frucht im Teller ✓

Der Tag kann beginnen ✓







Auswahl der Textilien

Praxis-Wiedereröffnung im März 2018

Gefahr: vielversprechende Kaugummis mit Schattenseiten

Zitronenwasser am Morgen (Ayurveda)



Achtung: Zahn-Unfall ...

Endometriegerät zur exakten Längenmessung




"Basil" der Therapiehund ✓



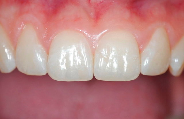
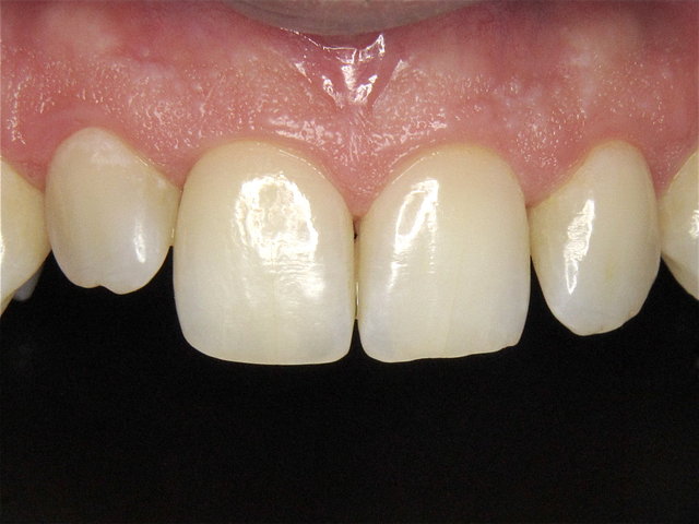
Angeschlagene Frontzähne ...

Beschattete Balkone ✓

Beschattete Balkone ✓

Balkon mit Aussicht ✓

Kaffee ✓

Angeschlagene Frontzähne ...

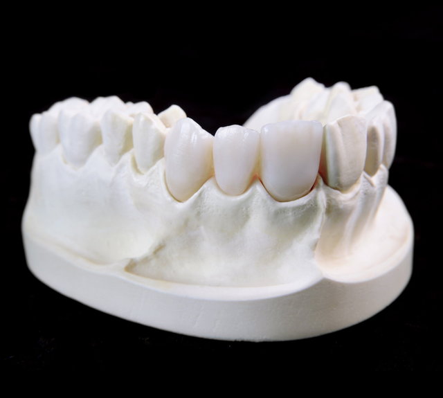
Analoges Arbeitsmodell aus Gips ✓

3-gliedrige Brücke by CLINICDENT ✓

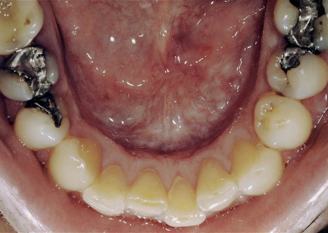
Rasche Zahnsteinbildung unter dem Retainer

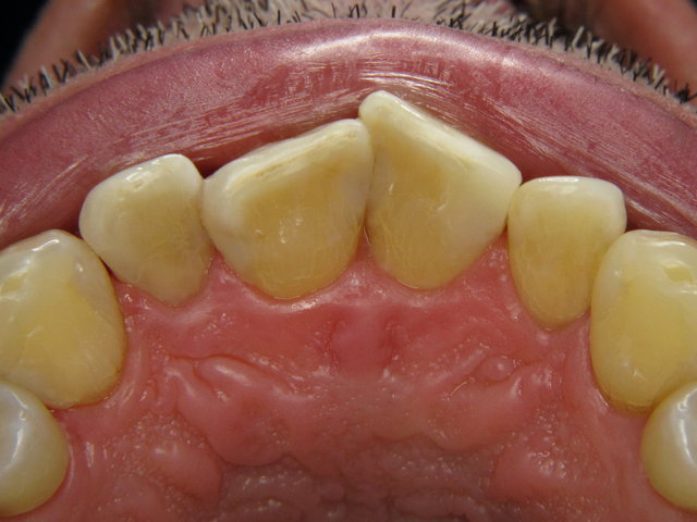
Zahnsteinbildung erfolgt schleichend & langsam

Alles Rhabarber ✓



Abgebrochenes Metall-Gerüst

Fertiges metallfreies Resultat ✓

TV-Begleitung an der Decke ✓

TV-Begleitung an der Decke ✓

TV-Begleitung an der Decke ✓

TV-Begleitung an der Decke ✓

TV-Begleitung an der Decke ✓

TV-Begleitung an der Decke ✓

TV-Begleitung an der Decke ✓

TV-Begleitung an der Decke ✓

Vergrösserung und Präzision durch Lupenbrille ✓

Metallfreie Vollkeramik-Brücke ⎷

Klebe-Brücke ⎷

Tiefziehschiene ✓

Michigan-Schiene gegen Bruxismus ✓

Michigan-Schiene gegen Bruxismus ✓

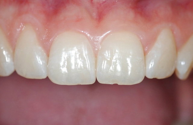
Abgebrochene Frontzähne

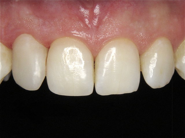
Fertiges Resultat ✓ (Composit)

Orthopantomographie nach Unfall

Vollkeramik-Kronen


Regelmässige Überprüfung der Bisskontakte ✓

Infrakturlinien (Riss) nach Amalgam-Entfernung

Ästimierte TV-Begleitung an den Decken ✓

Ästimierte TV-Begleitung an den Decken ✓





Blumen im Entrée ✓



Weissliche Schleimhautveränderung im Mundboden ... (Raucher)

Laserbehandlung by CLINICDENT ✓

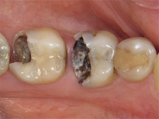
Alte Amalgam-Füllungen mit Sekundärkaries ...

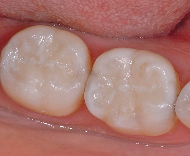
Composit-Füllungen by CLINICDENT ✓

Swarovski by CLINICDENT ✓

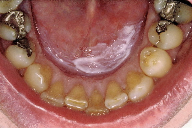
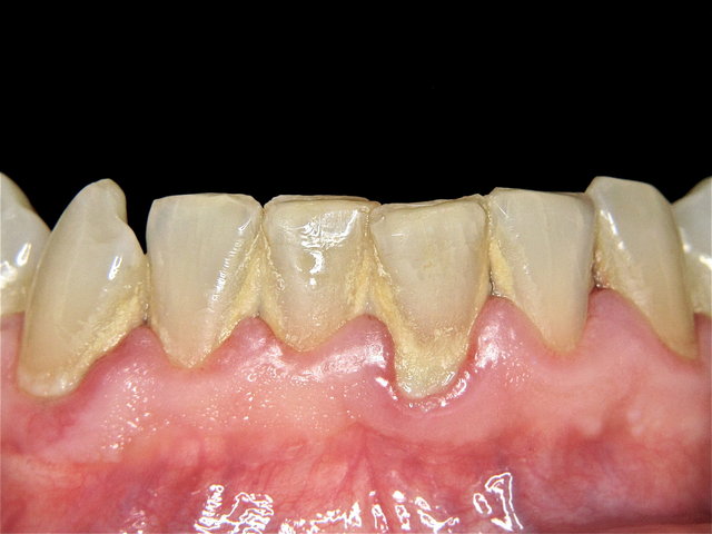
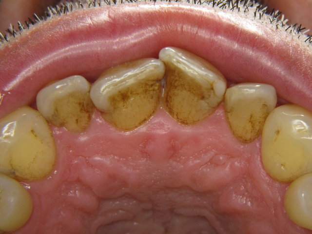
Gelblicher Zahnstein und entzündetes Zahnfleisch ...

Gelblicher Zahnstein und entzündetes Zahnfleisch ...

Zu kurzer seitlicher Schneidezahn ...

Composit-Füllung by CLINICDENT ✓

Verschmutzung, Karies und alte Füllungen ...

Dentalhygiene und Composit-Füllungen by CLINICDENT ✓

Herbstgericht ganz ohne Wild ✓









Fissuren-Karies ...

Blumen im Entrée ✓

Ästhetisch störender grauer Composit-Eckaufbau ...

Raumpflege mit Herz ✓

Merci ✓



Eidg. dipl. Zahnärztin







Ästimierte TV-Begleitung an den Decken ✓

