
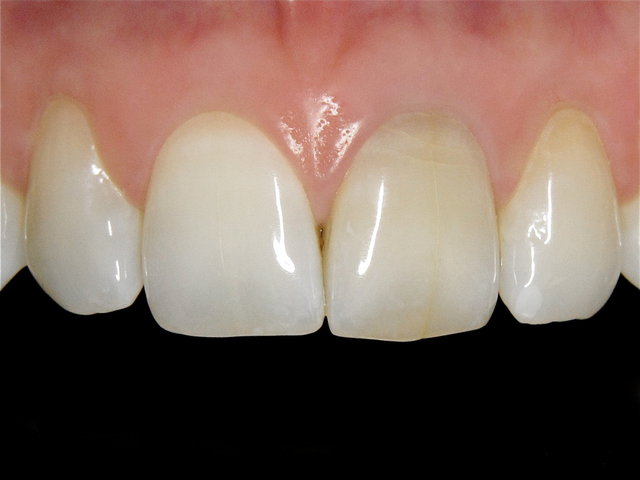
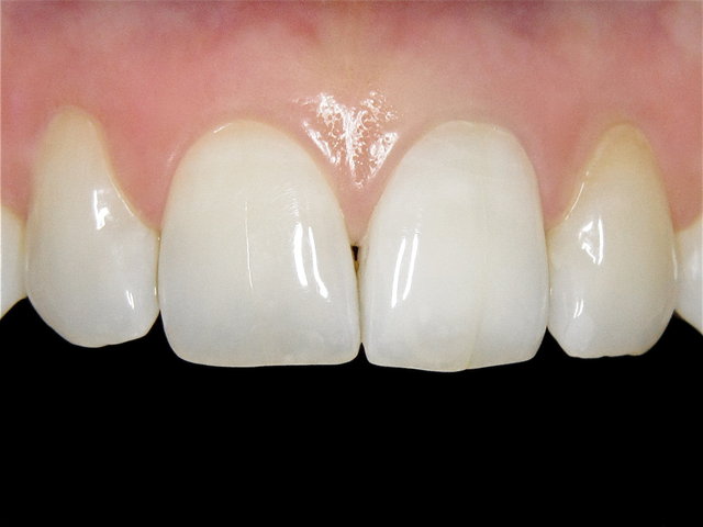
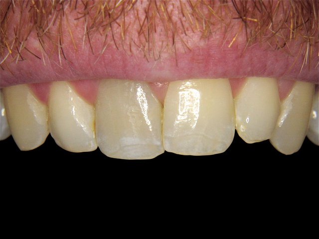
Abgebrochener Frontzahn mit Gelbverfärbung ...

Composit-Füllung und Bleaching by CLINICDENT ✓

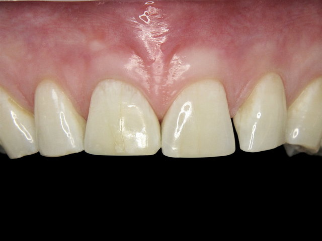
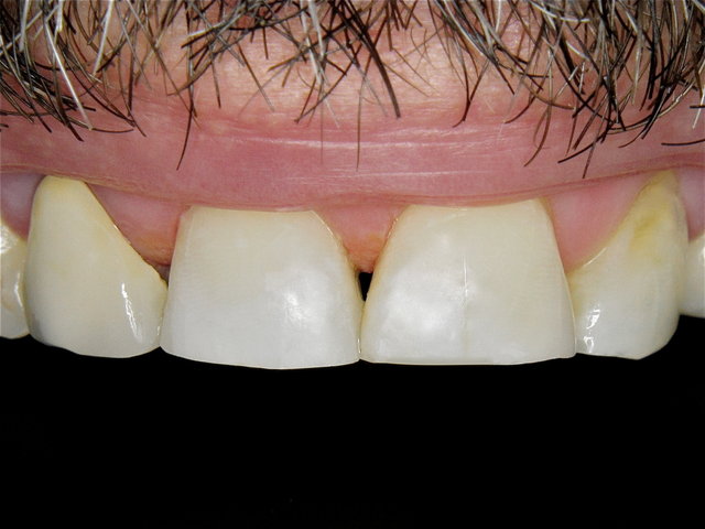
Störend gelb verfärbte Zähne ...

Bleaching by CLINICDENT ✓

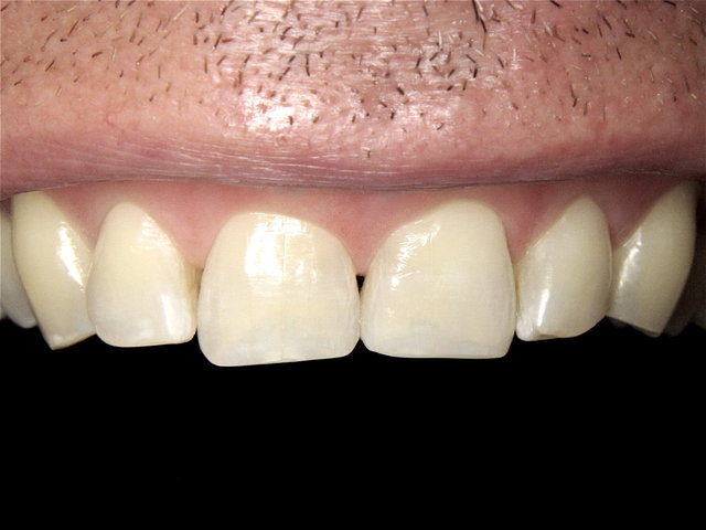
Störend gelb verfärbter Frontzahn ...

Bleaching by CLINICDENT ✓

Störend verfärbter wurzelbehandelter Frontzahn ...

Bleaching by CLINICDENT ✓

Störend dunkel verfärbter wurzelbehandelter Frontzahn ...

Bleaching by CLINICDENT ✓

Störend gelb verfärbte Frontzähne ...

Füllungsaustausch und Bleaching by CLINICDENT ✓

Kariös dunkel verfärbte Schneidezähne ...

Composit-Füllungen by CLINICDENT ✓

Störend grau verfärbter Frontzahn ...

Bleaching by CLINICDENT ✓

Kariös dunkel zerstörte Schneidezähne ...

Composit-Füllungen by CLINICDENT ✓

Gelbverfärbung von alten unsauberen Füllungen ...

Füllungsaustausch by CLINICDENT ✓

Gelb-Braunverfärbung von undichten Füllungen ...

Composit-Ersatz by CLINICDENT ✓

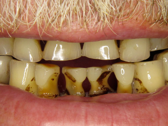
Verschmutzung, Karies und alte Füllungen ...

Dentalhygiene und Composit-Füllungen by CLINICDENT ✓

Ästhetisch störende Oberkiefer-Frontzähne ...

Veneers by CLINICDENT ✓

Ausgeprägte Putzdefekte & Verfärbungen ...

Vollkeramik-Kronen by CLINICDENT ✓

Bleaching by CLINICDENT ✓

