
Verlagerung und Retention

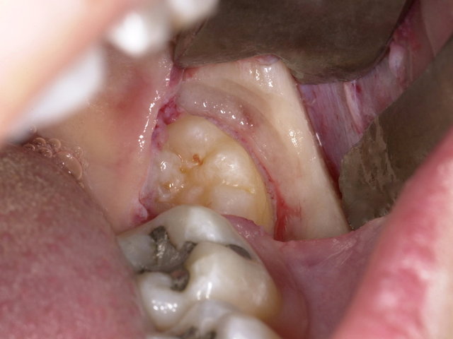
Tiefe Karies wegen eines benachbarten Weisheitszahnes

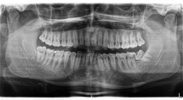
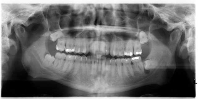
Panorama-Übersichtsaufnahme

Sichtbarer Nerv im Zahnfach

Risiko einer mögliche Tuberfraktur ...

Kieferhöhlenboden-Fraktur ...

Perforierte Kieferhöhlenschleimhaut im Zahnfach ...

Operative Weisheitszahn-Entfernung ... ✓

Operative Weisheitszahn-Entfernung ... ✓

Operative Weisheitszahn-Entfernung ... ✓

Operative Weisheitszahn-Entfernung ... ✓

Operative Weisheitszahn-Entfernung ... ✓

Operative Weisheitszahn-Entfernung ... ✓

Operative Weisheitszahn-Entfernung ... ✓

Operative Weisheitszahn-Entfernung ... ✓

Operative Weisheitszahn-Entfernung ...

Operative Weisheitszahn-Entfernung ... ✓

Operative Weisheitszahn-Entfernung ... ✓

Operative Weisheitszahn-Entfernung ... ✓

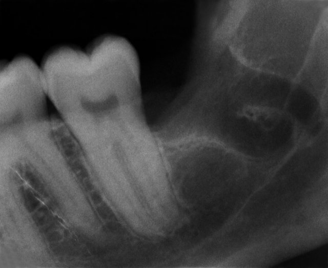
Gekrümmte Wurzeln beim Nervenkanal

Komplikationslose Entfernung ✓

Gekrümmte Wurzelspitzen ... ✓

Wurzelreste beim Nevenkanal

Komplikationslose Entfernung ✓

Wurzelreste beim Nervenkanal

Komplikationslose Entfernung ✓

Tiefe Karies wegen eines benachbarten Weisheitszahnes

Tiefe Karies wegen eines benachbarten Weisheitszahnes ...

Composit-Füllung by CLINICDENT ✓

Zahnstein führt zum Zahnverlust ...

Extrahierter Stockzahn mit Zahnstein ...

Weisheitszahn als Schmutznische für Zahnstein ...

Weisheitszahn als Schmutznische für Zahnstein ...

Weisheitszahn als Schmutznische für Zahnstein ...

Weisheitszahn als Schmutznische für Zahnstein ...

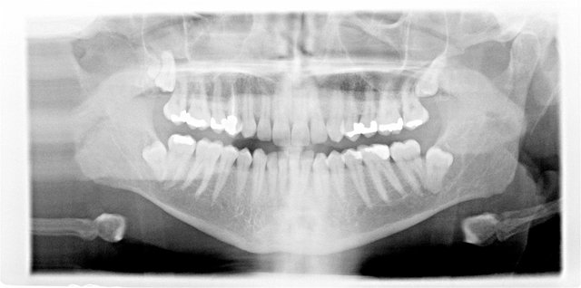
Orthopantomographie (OPT)


Tiefe Karies im oberen Weisheitszahn

Verlagerung der Weisheitszähne

Follikuläre Zysten um die unteren beiden Weisheitszähne

3D Röntgenbild

3D Röntgenbild

