
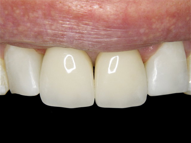
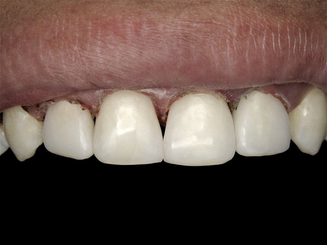
Zähne nach der Entfernung der Füllungen ...

Composit-Ersatz by CLINICDENT ✓

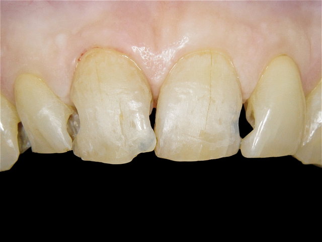
Entfernte alte Füllungen ...

Composit-Füllungen by CLINICDENT ✓

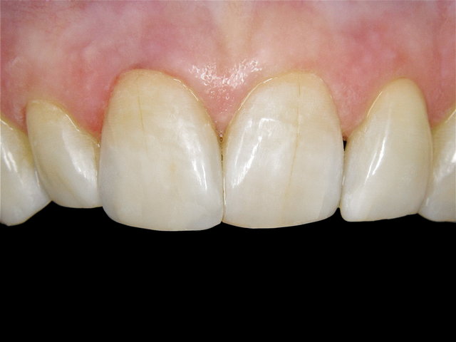
Entfernung aller alten Füllungen ...

Composit-Ersatz by CLINICDENT ✓

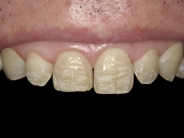
Entfernte intrinsische Verfärgung ...

Composit-Schalung by CLINICDENT ✓

Gingivektomie und direkten Composit-Verschalung ...

Composit-Ersatz by CLINICDENT ✓

Eröffnete Karies in den Zahnzwischenräumen ...

Composit-Füllungen by CLINICDENT ✓

Feine und tiefer Riss nach Amalgamentfernung ...

Composit-Füllungen by CLINICDENT ✓

Entfernte alte Füllungen ...

Composit-Füllungen by CLINICDENT ✓

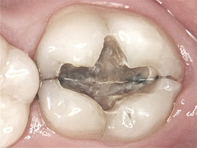
Kavität nach entfernter Amalgam-Füllung ...

Composit-Füllung by CLINICDENT ✓

Entfernte undichte Amalgam-Füllung ...

Composit-Füllung by CLINICDENT ✓

Tiefer zentraler Riss nach Amalgamentfernung ...

Composit-Füllung by CLINICDENT ✓

Entfernung der alten Amalgamfüllung ...

Composit-Füllungen by CLINICDENT ✓

Undicht verfärbter Randspalt ...

Composit-Füllung by CLINICDENT ✓

Entfernt Amalgamfüllung ...

Composit-Füllung by CLINICDENT ✓

Höckerfrakturen neben Amalgam-Füllung ...

Composit-Aufbau by CLINICDENT ✓

Provisorium und Composit-Füllung ohne Verbundtechnik ...

Composit-Füllungen by CLINICDENT ✓

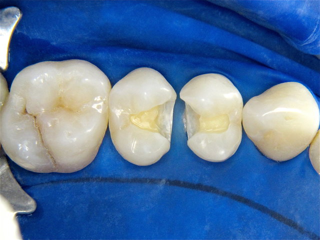
Ausgedehnter Füllungsaustausch ...

Composit-Füllungen by CLINICDENT ✓

Tief kariös zerstörte Stockzähne ...

Composit-Aufbauten by CLINICDENT ✓

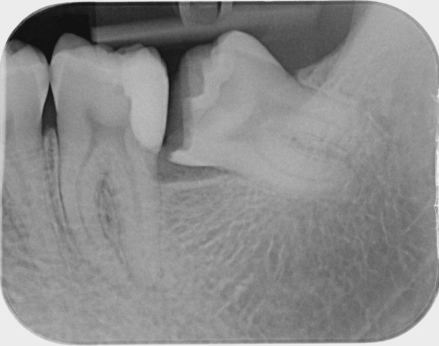
Karies infolge eines zuvor entfernten Weisheitszahnes ...

Composit-Füllung by CLINICDENT ✓

Tiefe Karies wegen eines benachbarten Weisheitszahnes

Composit-Füllung by CLINICDENT ✓

Ästhetisch ungenügend nach Verbreiterungsversuch alio loco ...

Lückige Eigendentition ...

Ästhetisch kompromittierte Situation ...

