
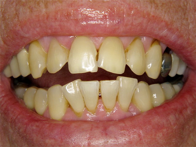
Gelbverfärbung von alten unsauberen Füllungen ...

Composit-Füllungsaustausch by CLINICDENT ✓

Gelb-Braunverfärbung von undichten Füllungen ...

Composit-Ersatz by CLINICDENT ✓

Unterschiedliche Situation in Farb und Form ...

Vollkeramik-Kronen und Composit-Verbledungen by CLINICDENT ✓

Ästhetisch kompromittierte Frontzahnfüllungen ...

Composit-Ersatz by CLINICDENT ✓

Ästhetisch störend sichtbare Füllungen ...

Composit-Ersatz by CLINICDENT ✓

Ästhetisch kompromittierte Frontzahnfüllungen ...

Composit-Ersatz by CLINICDENT ✓

Ästhetisch störend sichtbar gelbliche Füllungen ...

Composit-Ersatz by CLINICDENT ✓

Ästhetisch störend sichtbar braungelbe Füllungen ...

Composit-Ersatz by CLINICDENT ✓

Störend ektopischer Schneidezahn mit brauner Füllung ...

Composit-Aufbau by CLINICDENT ✓

Störende Lücke & verlängerter Schneidezahn ...

Composit-Schalen by CLINICDENT ✓

Ausgeprägte Putzdefekte & Verfärbungen ...

Vollkeramik-Kronen und Composit-Aufbauten by CLINICDENT ✓

Zahnfehlstellungen ...

Composit-Aufbauten by CLINICDENT ✓

Ästhetisch kompromittierte Situation ...

