
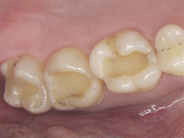
Undichte Füllungen ohne Verbundtechnik ...

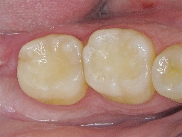
Composit-Füllungen by CLINICDENT ✓

Alte Compositfüllungen ohne Verbundtechnik ...

Composit-Füllungen by CLINICDENT ✓

Alte Compositfüllungen ohne Verbundtechnik ...

Composit-Füllungen by CLINICDENT ✓

Compositfüllung ohne Verbundtechnik ...

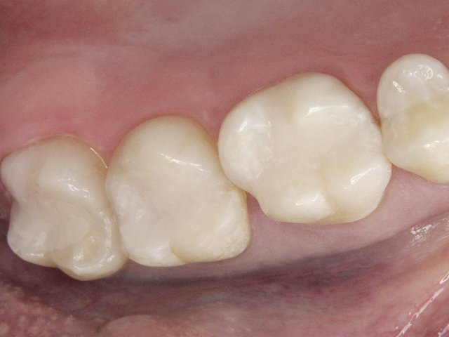
Composit-Füllung by CLINICDENT ✓

Compositfüllung ohne Verbundtechnik ...

Composit-Füllung by CLINICDENT ✓

Ausgewaschene Füllungen ohne Verbundtechnik ...

