
Sturz vom Fahrrad ...

Composit-Aufbau by CLINICDENT ✓

Zusammenstoss beim Küssen ...

Composit-Aufbauten by CLINICDENT ✓

Gelockerter Schneidezahn ... (Fussball)

Reponierter und geschienter Schneidezahn by CLINICDENT ✓

Zusammenstoss in der Kinderkrippe ...

Reponierter und geschienter Milchzahn ✓

Abgeheiltes Resultat by CLINICDENT ✓

Sturz im Hallenbad ...

Composit-Aufbau by CLINICDENT ✓

Zahnfrakturen beider mittleren Scheidezähne ...

Composit-Aufbauten by CLINICDENT ✓

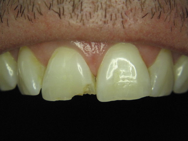
Abfrakturierter Frontzahn ...

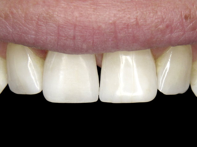
Composit-Zahnaufbau by CLINICDENT ✓

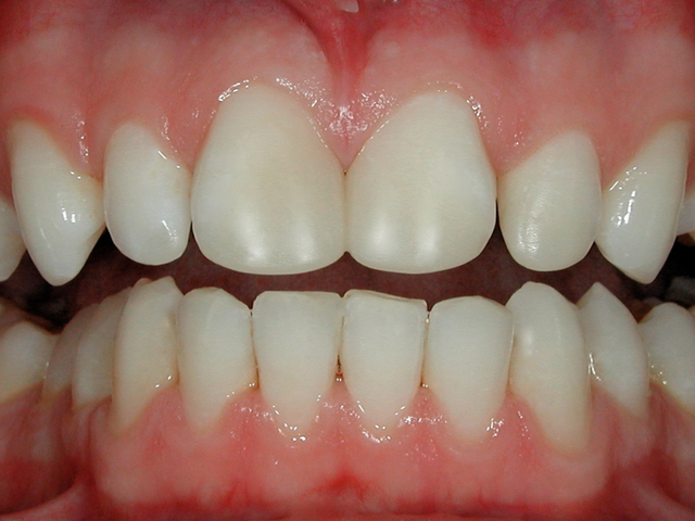
Zahnfrakturen aller vier Scheidezähne ...

Composit-Aufbauten by CLINICDENT ✓

Unfall auf dem Spielplatz ...

Composit-Aufbau by CLINICDENT ✓

Abgebrochener Schneidezahn ...

Composit-Aufbau by CLINICDENT ✓

Abgebrochener Schneidezahn ...

Composit-Aufbau by CLINICDENT ✓

Angeschlagener Schneidezahn ...

Composit-Aufbau by CLINICDENT ✓

Eckenfraktur des Schneidezahnes ...

Composit-Aufbau by CLINICDENT ✓

Störend gebrochene Frontzahnkanten ...

Composit-Füllungen by CLINICDENT ✓

Abgebrochene Schneidekante ...

Composit-Kantenaufbau by CLINICDENT ✓

Abgebrochene Schneidekante ...

Composit-Kantenaufbau by CLINICDENT ✓

Störend abgebrochene Schneidekanten ...

Composit-Füllungen by CLINICDENT ✓

Risse nach Zahnunfall ...

