
Zivilisiertes und pflegendes Zähneputzen ✓

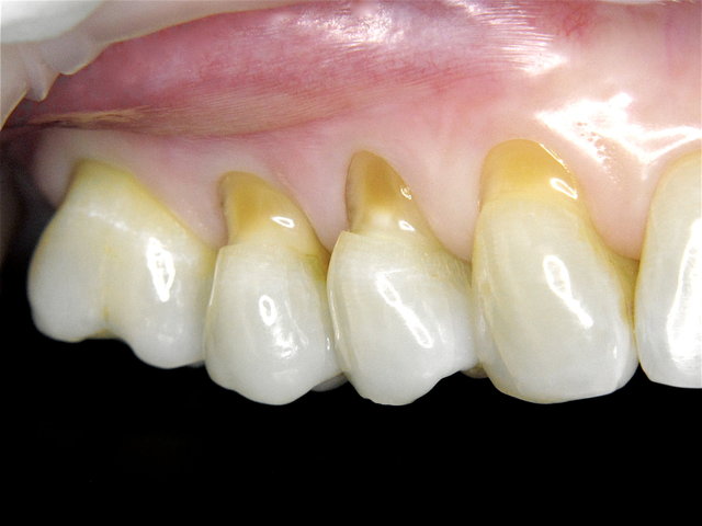
Ausgeprägte Putzdefekte ...

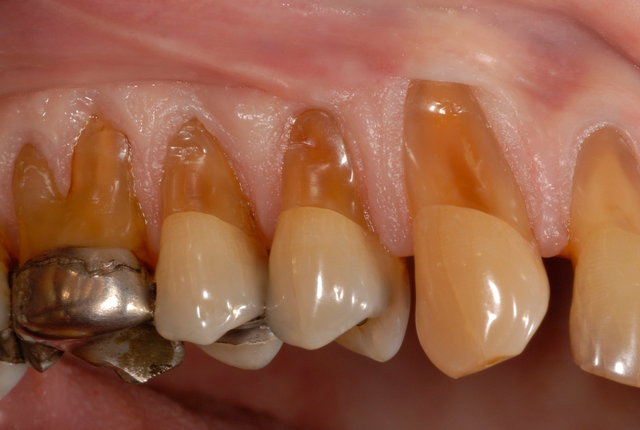
Putzdefekte mit offenen empfindlichen Zahnwunden ...

Übertrieben ausgeprägte Putzdefekte ...

Zitronensaft ist sauer und schadet den Zähnen ...

Durchschimmernder Zahnnerv ...

Auflösung der Zahnhartsubstanz durch Zitronensaft ...

Säuregeschädigte Zähne ...

Vielversprechende Kaugummis mit Schattenseiten ...

In- und externe Risse nach Amalgam-Entfernung ...

Interner Riss ... (Kaugummi?)

Interner zentraler Riss nach Amalgam-Entfernung ...

Die Suche nach dem "versteckten Zucker" ...

Kariöse zerstörte Frontzähne ... (Zucker?)

Tief kariös zerstörte Stockzähne ... (Zucker?)

