
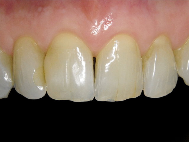
Farbunterschied: neue und alte Krone ...

Unschön alte angesammelte Aufbauten ...

Budget- und Premiumprodukte ... ?

Unsaubere Füllungen ...

Professionell oder schnell-schnell Behandlung... ?

Original oder Kopie ... ?

Top oder Schrott ... ?

Störender grauer Composit-Eckaufbau ...

Nachhaltig oder vorläufig ... ?

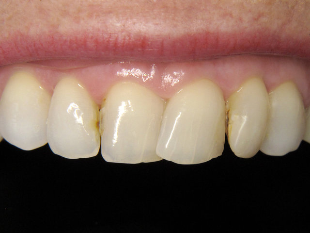
Ästhetisch störend braune Füllung ...

Alte oder neue Technik ... ?

Gut gemeint ist nicht immer gut gemacht ...

Garantie oder Ablaufdatum ... ?

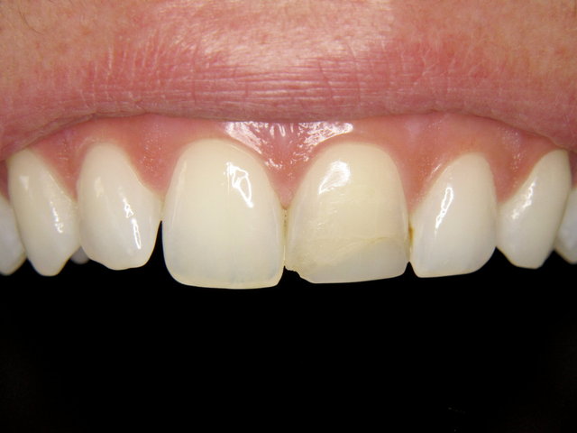
Ästhetisch störend defekter Aufbau ...

Erfolg oder Misserfolg ... ?

Ästhetisch störend defekter Aufbau ...

Segen oder Übel?

Bewunderung oder Enttäuschung ... ?

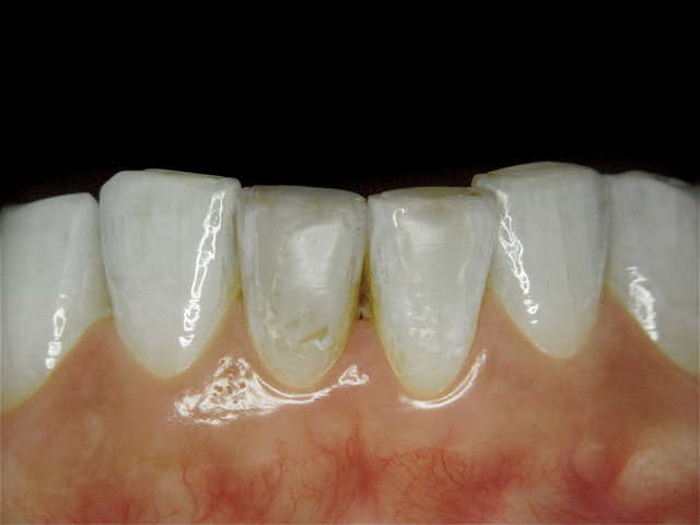
Ästhetisch kompromittierte Frontzahnfüllungen ...

Problemlos oder komplikationsreich ... ?

Ästhetisch kompromittierte Frontzahnfüllungen ...

Nachhaltig oder kurzfristig ... ?

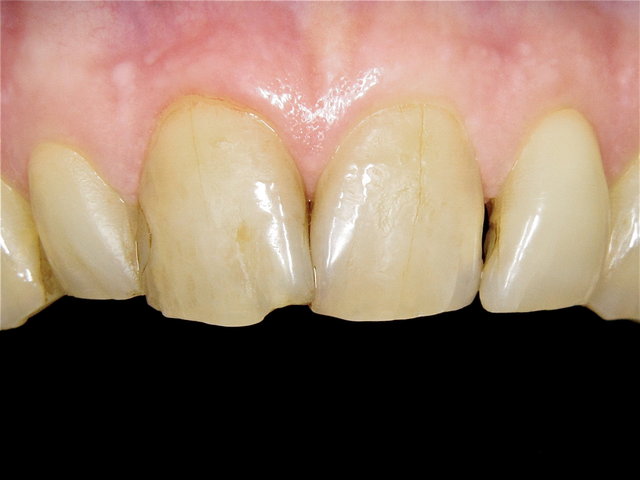
Gelb-Braunverfärbung von undichten Füllungen ...

Ästhetisch störend sichtbar braungelbe Füllungen ...

Beratung oder Verleitung ... ?

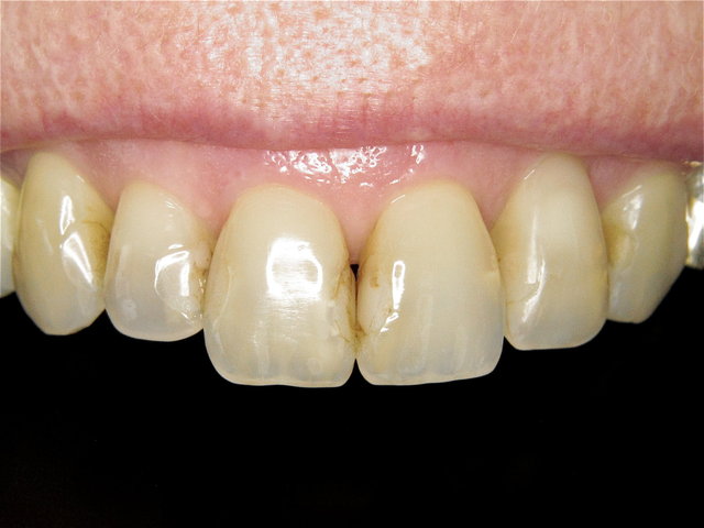
Gelbverfärbung von alten unsauberen Füllungen ...

Ästhetisch störend braune Füllungen ...

Ehrlich oder heuchlerisch ... ?

Ästhetisch störend sichtbar gelbliche Füllungen ...

Solid oder zusammengeflickt ... ?

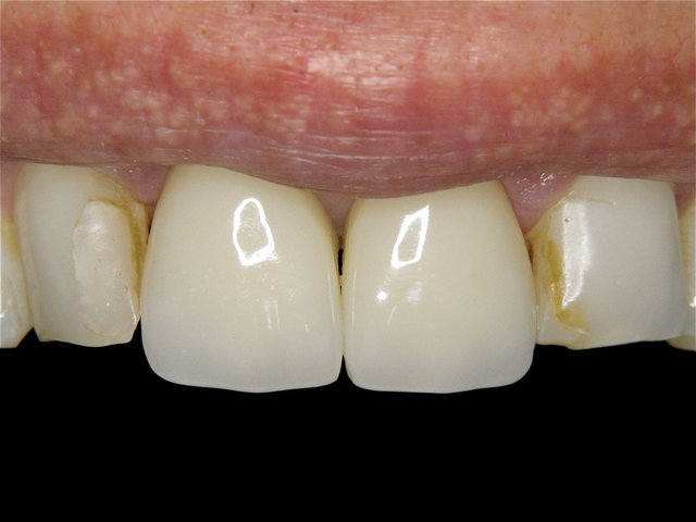
Ästhetisch störend sichtbare Füllungen ...

Ästhetisch ausgediente Verbundmetallkeramik-Kronen ...

Ästhetisch störend sichtbar braune Füllung ...

Störend angeklebtes Glimmerplättchen ...

