
Durchbruch der permanenten Schneidezähne

Milchzahn-Durchbruch

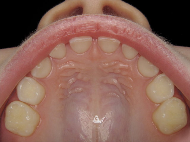
Das perfekte Milchzahngebiss

Zahn-Untersuch mit Röntgenbildern ✓

Eröffneter kariöser Zahnzwischenraum ...

Composit-Füllung by CLINICDENT ✓

Eröffneter kariöser Zahnzwischenraum ...

Composit-Füllung by CLINICDENT ✓

Baustellensicherung und Trockenlegung ✓

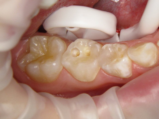
Eröffnete Kauflächen-Karies ...

Perfekte Team-Arbeit by CLINICDENT ✓

Kariöse zerstörte Frontzähne ... (Zucker?)

Composit-Füllungen by CLINICDENT ✓

Sturz im Hallenbad ...

Composit-Aufbau by CLINICDENT ✓

Zusammenstoss in der Kinderkrippe ...

Reponierter und geschienter Milchzahn ✓

Abgeheiltes Resultat by CLINICDENT ✓

Unfall auf dem Spielplatz ...


Zahn-Abszess ...

Zungenseitig ektopischer Zahndurchbruch ...

Angeschlagene Frontzähne ...

