
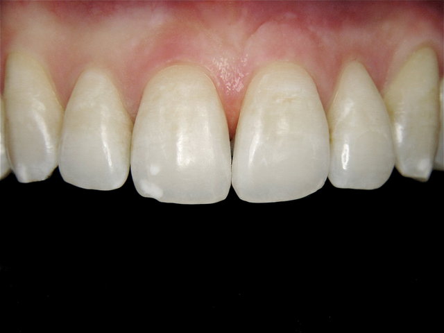
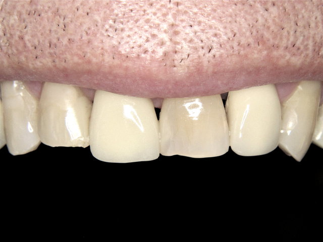
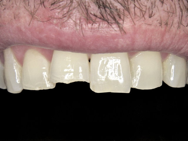
Störend schräge Schneidekanten ...

Composit-Aufbauten by CLINICDENT ✓

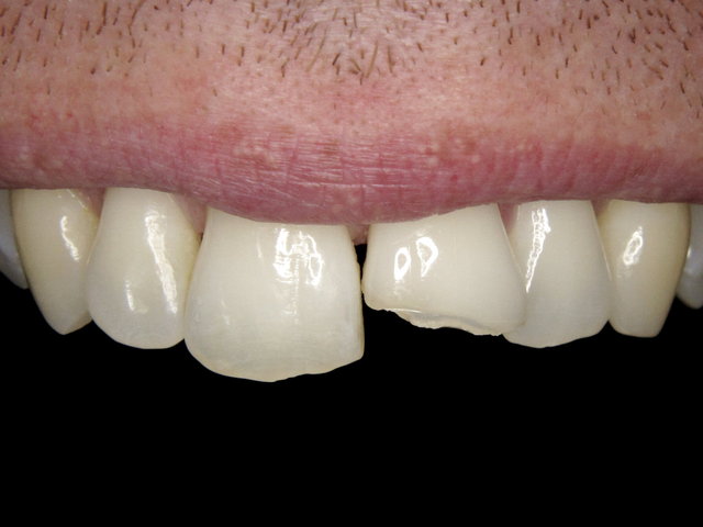
Abgebrochene Frontzahnkanten ...

Composit-Füllungen by CLINICDENT ✓

Abgebrochene Schneidezähne ...

Composit-Füllungen by CLINICDENT ✓

Störend gelb verfärbter Frontzahn ...

Bleaching by CLINICDENT ✓

Störend gebrochene Frontzahnkanten ...

Composit-Füllungen by CLINICDENT ✓

Kariös dunkel verfärbte Schneidezähne ...

Composit-Füllungen by CLINICDENT ✓

Gelber angebrochener Composit-Eckaufbau ...

Composit-Eckaufbau by CLINICDENT ✓

Subjektiv störende Front-Lücken ...

Composit-Schalen by CLINICDENT ✓

Störend abgebrochene Schneidezähne ...

Composit-Füllungen by CLINICDENT ✓

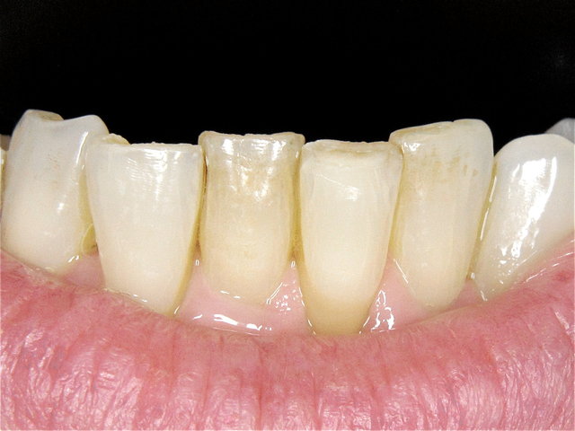
Gelbverfärbung von alten unsauberen Füllungen ...

Composit-Füllungsaustausch by CLINICDENT ✓

Zu kurzer seitlicher Schneidezahn ...

Composit-Füllung by CLINICDENT ✓

Zusammenstoss beim Küssen ...

Composit-Aufbauten by CLINICDENT ✓

Ästhetisch störend sichtbar braungelbe Füllungen ...

Composit-Ersatz by CLINICDENT ✓

Störend grau verfärbter Frontzahn ...

Bleaching by CLINICDENT ✓

Ästhetisch störend braune Füllungen ...

Composit-Füllungen by CLINICDENT ✓

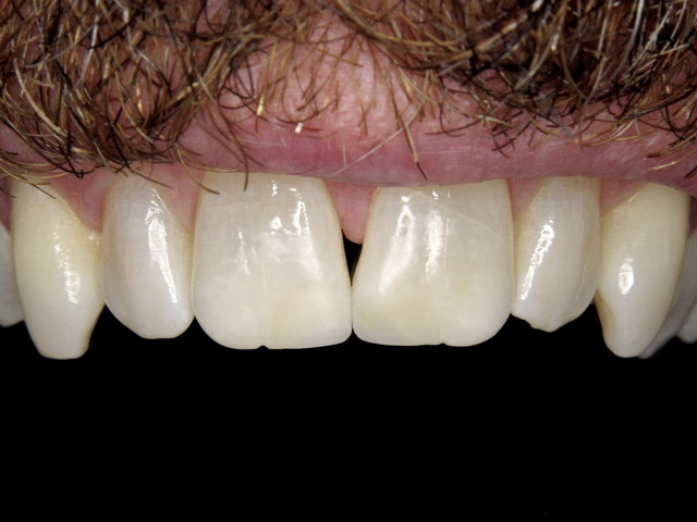
Zahnfrakturen beider mittleren Scheidezähne ...

Composit-Aufbauten by CLINICDENT ✓

Extrinsische Zahnverfärbung ...

Mikroabrasion by CLINICDENT ✓

Ausgeprägte Putzdefekte & Verfärbungen ...

Vollkeramik-Kronen und Composit-Aufbauten by CLINICDENT ✓

Gelockerter Schneidezahn ... (Fussball)

Reponierter und geschienter Schneidezahn by CLINICDENT ✓

Ungleich abgebrochene Schneidekanten ...

Composit-Füllungen by CLINICDENT ✓

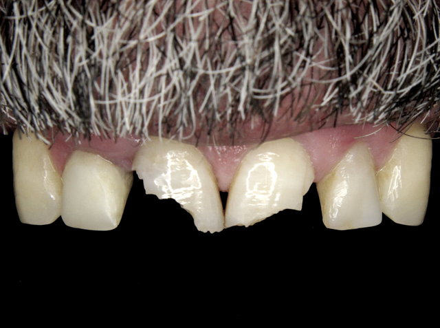
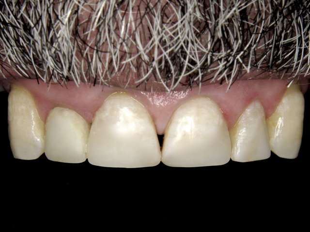
Abfrakturierter Frontzahn ...

Composit-Zahnaufbau by CLINICDENT ✓

Unterschiedliche Situation in Farb und Form ...

Vollkeramik-Kronen und Composit-Verbledungen by CLINICDENT ✓

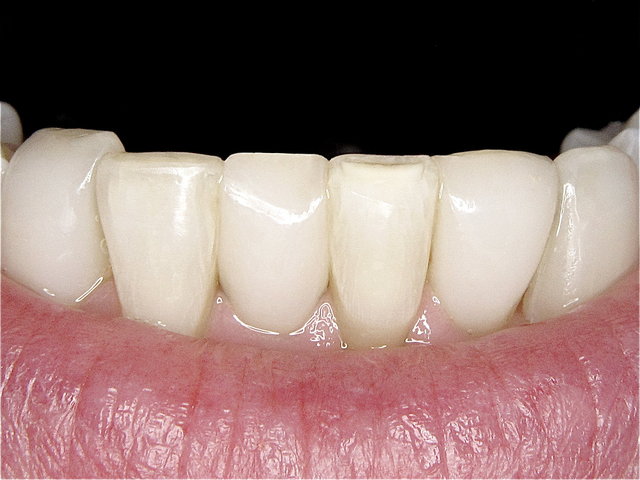
Unsaubere Frontzahnfüllungen ...

Composit-Füllungen by CLINICDENT ✓

Sturz auf den Bordstein ...

Composit-Aufbau by CLINICDENT ✓

Alte Technik der Verbund-Metall-Keramik-Kronen ...

