
Kariöse zerstörte Frontzähne ... (Zucker?)

Composit-Füllungen by CLINICDENT ✓

Unfall auf dem Spielplatz ...

Composit-Aufbau by CLINICDENT ✓

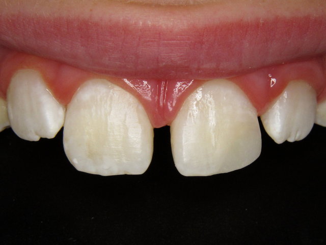
Zusammenstoss in der Kinderkrippe ...

Reponierter und geschienter Milchzahn ✓

Sturz im Hallenbad ...

Composit-Aufbau by CLINICDENT ✓

Amelogenesis imperfecta ...

