
Beginnende Karies in Fissuren ... (Intraoralkamera)

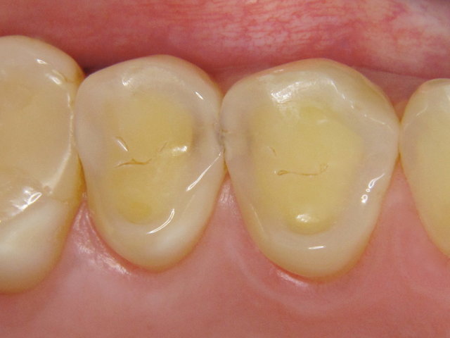
Karies in den Fissuren ... (Intraoralkamera)

Tiefe Fissurenkaries ... (Intraoralkamera)

Durchschimmernde Karies zwischen den Zähnen ...

Eröffnete Karies in den Zahnzwischenräumen ...

Eröffnete Karies zwischen den Zähnen ... (Intraoralkamera)

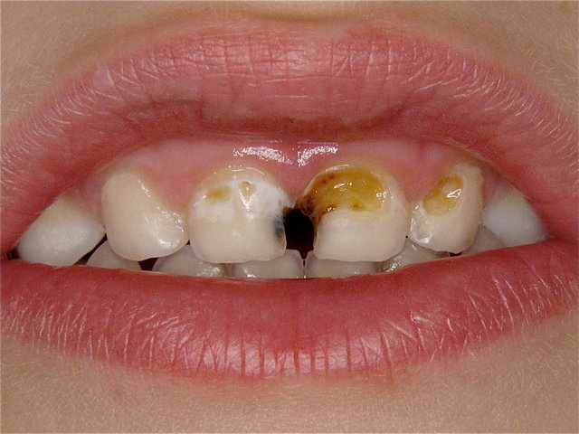
Kariöse zerstörte Frontzähne ... (Zucker?)

Tief kariös zerstörte Stockzähne ... (Zucker?)

Kariös dunkel verfärbte Schneidezähne ...

Kariös dunkel zerstörte Schneidezähne ...

Karies infolge eines zuvor entfernten Weisheitszahnes ...

