
CLINICDENT ist eine Kofferdam-Praxis ✓

Alte Compositfüllungen ohne Verbundtechnik ...

Entfernung der alten Füllungen ...

Säureätzung des Schmelzmantels ...

Sichtbares Ätzmuster ...

Mikroretentive Haftvermittlung ...

Schrittweises Auffüllen mit Composit ...

Composit-Füllungen by CLINICDENT ✓

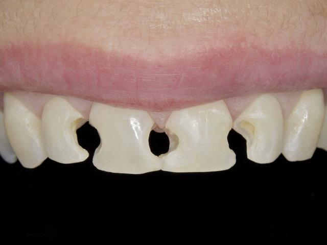
Ästhetisch störend defekter Aufbau ...

Entfernter alter Aufbau ...

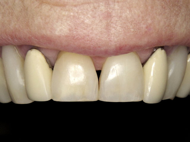
Composit-Aufbau by CLINICDENT ✓

Eröffnete Karies in den Zahnzwischenräumen ...

Kariesexkavation und Kastenpräparation ...

Matrizen, Keile & Spannringe ...

Schrittweises Auffüllen mit Composit ...

Ausarbeiten der Compositfüllungen ...

Composit-Füllungen by CLINICDENT ✓

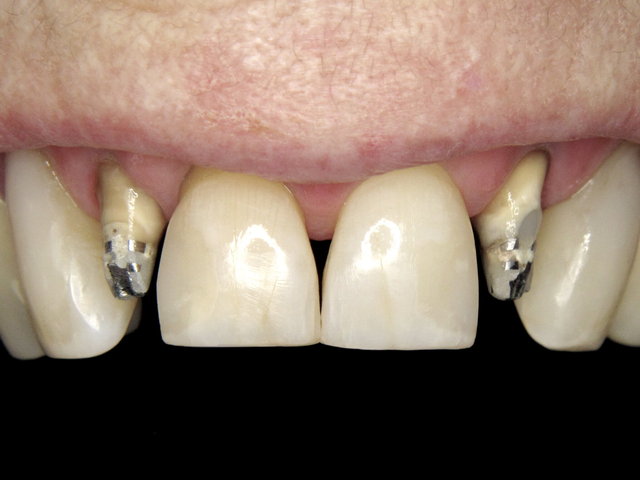
Ästhetisch ungenügend nach Verbreiterungsversuch alio loco ...

Lückige Eigendentition ...

Gingivektomie und direkten Composit-Verschalung ...

Composit-Ersatz by CLINICDENT ✓

Entfernung der alten Amalgamfüllung ...

Anfrischung des Kastenbodens ...

Säureätzung des Schmelzmantels ...

Auffüllung der Kavität mit Composit ...

Composit-Füllungen by CLINICDENT ✓

Ästhetisch kompromittierte Frontzahnfüllungen ...

Zähne nach der Entfernung der Füllungen ...

Composit-Ersatz by CLINICDENT ✓

Höcker-Fraktur neben Amalgamfüllung ...

Entfernt Amalgamfüllung ...

Zirkuläre Matritze mit Spannringen ...

Auffüllung der Kavität mit Composit ...

Composit-Füllung by CLINICDENT ✓

Alte Compositfüllungen ohne Verbundtechnik ...

Entfernte alte Füllungen ...

Composit-Füllungen by CLINICDENT ✓

Intrinsische Zahnverfärbung ...

Entfernte intrinsische Verfärgung ...

Composit-Schalung by CLINICDENT ✓

Baustellensicherung mittels Kofferdam ✓

Die Spannringe gewähren den perfekten Kontakpunkt ✓

Zirkuläre Metallmatrize by CLINICDENT ✓

Demonstrationsmodell by CLINICDENT ✓

Baustellensicherung mittels Kofferdam ✓

Der Spannring gewährt den perfekten Kontaktpunkt ✓

CLINICDENT ist eine Kofferdam-Praxis ✓

Ästhetisch kompromittierte Situation ...

Zwischenresultat: Composit-Ersatz by CLINICDENT ✓

Entfernung zweier Kronen ...

Entfernung zweier Kronen ...

Entfernung zweier Kronen ...

