
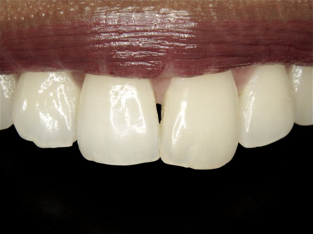
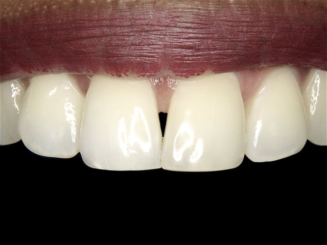
Subjektiv störende Front-Lücken mit gelblichen Zähnen ...

Composit-Verblendung by CLINICDENT ✓

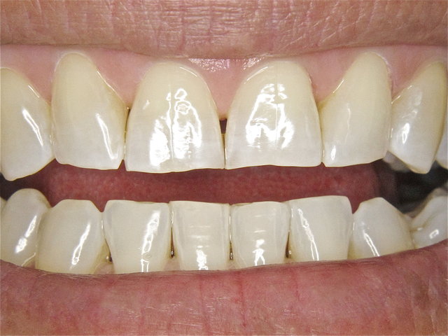
Ästhetisch ungenügend nach Verbreiterungsversuch alio loco ...

Composit-Ersatz by CLINICDENT ✓

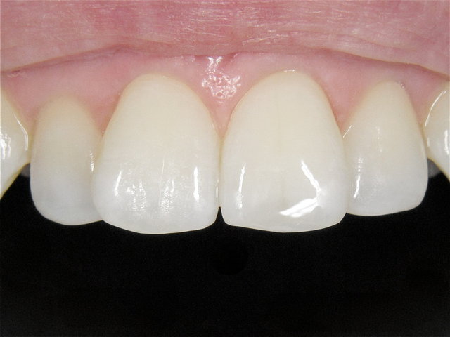
Gelb-Braunverfärbung von undichten Füllungen ...

Composit-Ersatz by CLINICDENT ✓

Abgebrochener Frontzahn mit Gelbverfärbung ...

Composit-Füllung und Bleaching by CLINICDENT ✓

Ästhetisch kompromittierte Frontzahnfüllungen ...

Composit-Ersatz by CLINICDENT ✓

Ästhetisch kompromittierte Frontzahnfüllungen ...

Composit-Ersatz by CLINICDENT ✓

Ungleich abgeschrägte Schneidekanten ...

Composit-Aufbauten by CLINICDENT ✓

Störend längerer rechter Schneidezahn ...

Gekürzte Schneidekante by CLINICDENT ✓

Störender grauer Composit-Eckaufbau ...

Composit-Ersatz by CLINICDENT ✓

Ästhetisch störend defekter Aufbau ...

Composit-Erneuerung by CLINICDENT ✓

Ästhetisch störend defekter Aufbau ...

Composit-Erneuerung by CLINICDENT ✓

Störend gelb verfärbte Zähne ...

Bleaching by CLINICDENT ✓

Ästhetisch kompromittierte Frontzahnfüllungen ...

Composit-Erneuerung by CLINICDENT ✓

Eckenfraktur des Schneidezahnes ...

Composit-Aufbau by CLINICDENT ✓

Störende seitliche Schneidezähne ...

Composit-Füllungen by CLINICDENT ✓

Störend ektopischer Schneidezahn mit brauner Füllung ...

Composit-Aufbau by CLINICDENT ✓

Störende Lücke & verlängerter Schneidezahn ...

Composit-Schalen by CLINICDENT ✓

Sturz vom Fahrrad ...

Composit-Aufbau by CLINICDENT ✓

Fälschlicherweise abgeschliffene Schaufeln im Kindesalter ...

Composit-Füllungen by CLINICDENT ✓

Abgebrochene Schneidekante ...

Composit-Kantenaufbau by CLINICDENT ✓



Ästhetisch kompromittierte Situation ...

