
Ästhetisch störend braune Füllung ...

Composit-Füllung by CLINICDENT ✓

Störender grauer Composit-Eckaufbau ...

Composit-Ersatz by CLINICDENT ✓

Ästhetisch störend defekter Aufbau ...

Composit-Erneuerung by CLINICDENT ✓

Ästhetisch störend defekter Aufbau ...

Composit-Erneuerung by CLINICDENT ✓

Ästhetisch kompromittierte Frontzahnfüllungen ...

Composit-Ersatz by CLINICDENT ✓

Gelber angebrochener Composit-Eckaufbau ...

Composit-Eckaufbau by CLINICDENT ✓

Ästhetisch kompromittierte Frontzahnfüllungen ...

Composit-Erneuerung by CLINICDENT ✓

Gelb-Braunverfärbung von undichten Füllungen ...

Composit-Ersatz by CLINICDENT ✓

Ästhetisch störend sichtbar braungelbe Füllungen ...

Composit-Ersatz by CLINICDENT ✓

Gelbverfärbung von alten unsauberen Füllungen ...

Composit-Füllungsaustausch by CLINICDENT ✓

Ästhetisch kompromittierte Frontzahnfüllungen ...

Composit-Ersatz by CLINICDENT ✓

Ästhetisch störend braune Füllungen ...

Composit-Füllungen by CLINICDENT ✓

Störend braune unsaubere Füllungensübergänge ...

Composit-Füllung by CLINICDENT ✓

Ästhetisch störend sichtbar gelbliche Füllungen ...

Composit-Ersatz by CLINICDENT ✓

Ästhetisch störend sichtbare Füllungen ...

Composit-Ersatz by CLINICDENT ✓

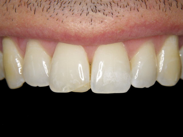
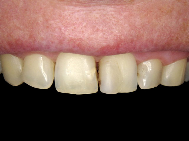
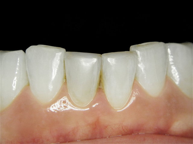
Ästhetisch ungenügend nach Verbreiterungsversuch alio loco ...

Composit-Ersatz by CLINICDENT ✓

Ästhetisch störend sichtbar braune Füllung ...

Composit-Füllungen by CLINICDENT ✓

Multiple Karies im Milchgebiss ...

Composit-Füllungen by CLINICDENT ✓

Unsaubere Frontzahnfüllungen ...

Composit-Füllungen by CLINICDENT ✓

Störend angeklebtes Glimmerplättchen ...

Swarovski by CLINICDENT ✓

Alte Technik der Verbund-Metall-Keramik-Kronen ...

Vollkeramik-Kronen by CLINICDENT ✓

Alte Technik der Verbund-Metall-Keramik-Kronen ...

Vollkeramik-Kronen by CLINICDENT ✓

Ästhetisch kompromittierte Situation ...

