
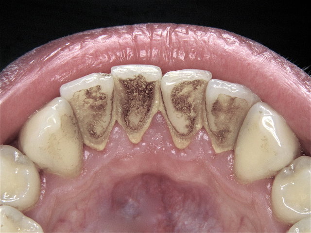
Unterkieferfront als 1. Riskostelle für rasche Zahnsteinbildung ...

Unterkieferfront mit Neigung zur raschen Verkalkung ...

Unterkieferfront mit Neigung zur raschen Verkalkung ...

Unterkieferfront mit Neigung zur raschen Verkalkung ...

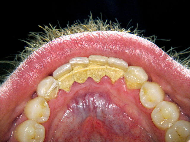
Oberkiefer-Seitenzahnbereich als 2. Riskostelle ...

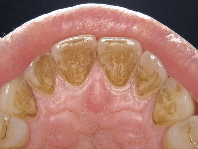
Verschmutzung, Karies und alte Füllungen ...

Zahnsteinbildung erfolgt schleichend & langsam ...

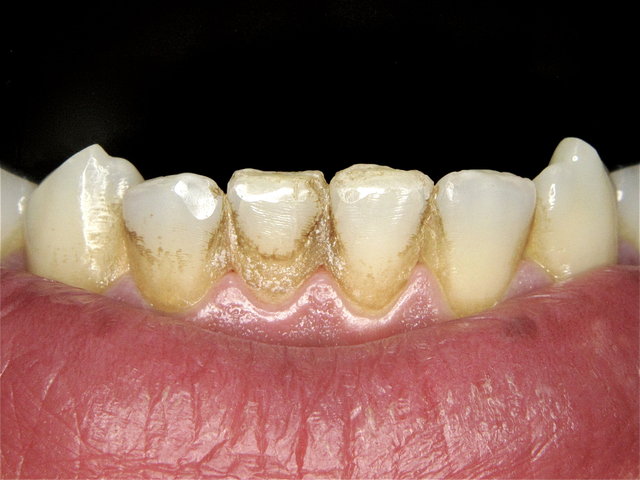
Sichtlich unter Verschmutzung entzündetes Zahnfleisch ...

Sichtlich unter Verschmutzung entzündetes Zahnfleisch ...

Gelblicher Zahnstein und entzündetes Zahnfleisch ...

Gelblicher Zahnstein und entzündetes Zahnfleisch ...

Gelblicher Zahnstein und entzündetes Zahnfleisch ...

