
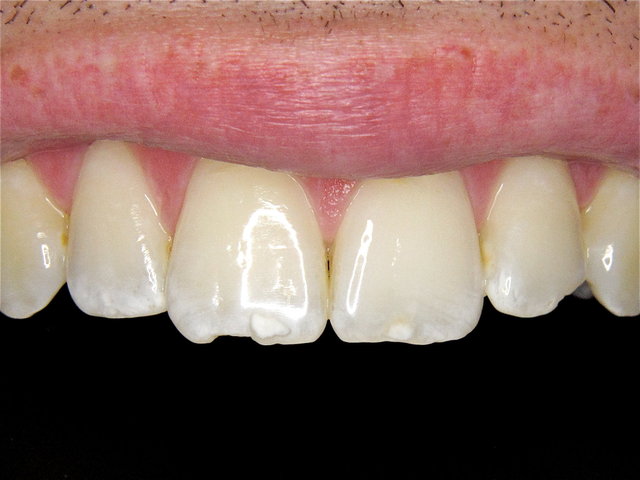
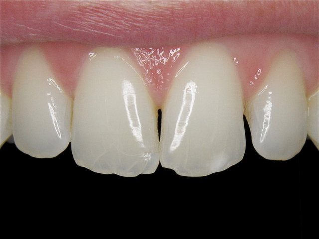
Abgebrochene Frontzahnkanten ...

Composit-Füllungen by CLINICDENT ✓

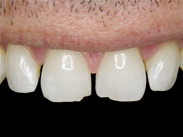
Störend gebrochene Frontzahnkanten ...

Composit-Füllungen by CLINICDENT ✓

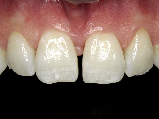
Abgebrochene Schneidezähne ...

Composit-Füllungen by CLINICDENT ✓

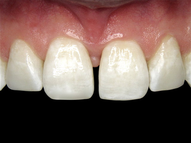
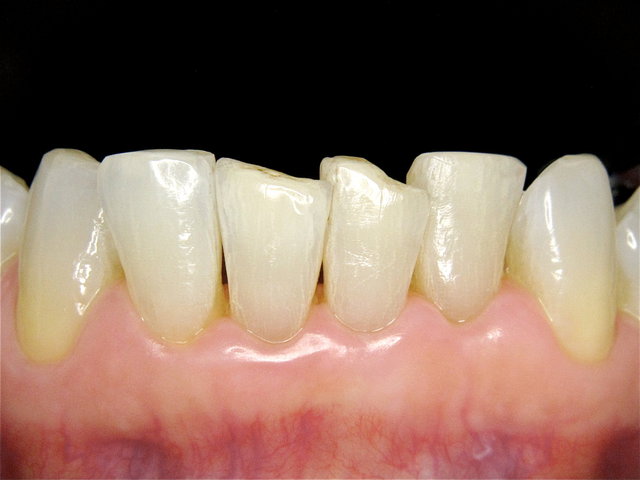
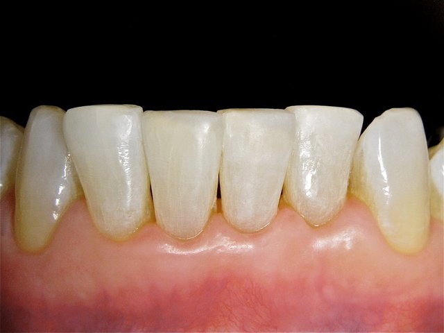
Störend abgebrochene Schneidezähne ...

Composit-Füllungen by CLINICDENT ✓

Abgebrochene Frontzahnkanten ...

Composit-Füllungen by CLINICDENT ✓

Verkürzter Schneidezahn ...

Composit-Füllung by CLINICDENT ✓

Störend abgebrochene Schneidekanten ...

Composit-Füllungen by CLINICDENT ✓

Abgewetzte Schneidezähne ...

Composit-Füllungen by CLINICDENT ✓

Störende Lücke ...

