
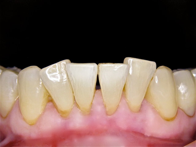
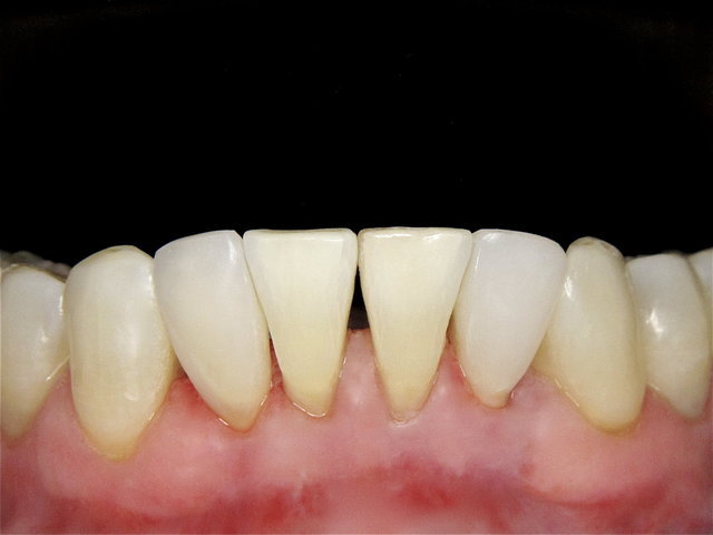
Störende seitliche Schneidezähne ...

Composit-Füllungen by CLINICDENT ✓

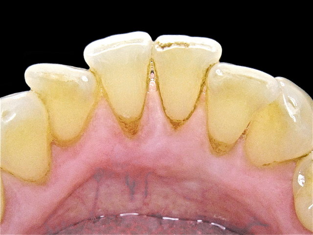
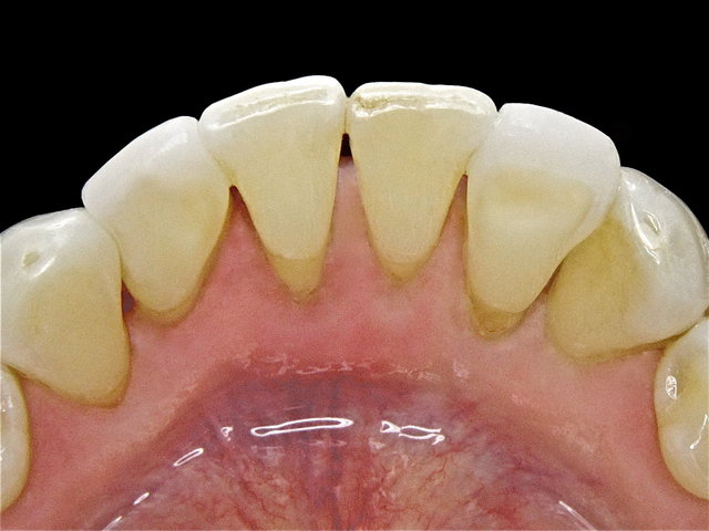
Störend verdrehte seitliche Schneidezähne ...

Composit-Füllungen by CLINICDENT ✓

Störend ektopischer Schneidezahn mit brauner Füllung ...

Composit-Aufbau by CLINICDENT ✓

Störende Lücke & verlängerter Schneidezahn ...

Composit-Schalen by CLINICDENT ✓

Zu kurzer seitlicher Schneidezahn ...

