
Air Flow by CLINICDENT ✓

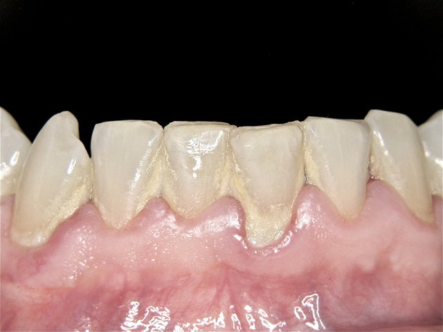
Gelblicher Zahnbelag und entzündetes Zahnfleisch ...

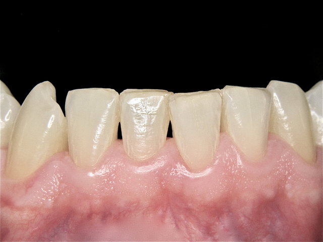
Gesunde Gingiva nach Dentalhygiene by CLINICDENT ✓

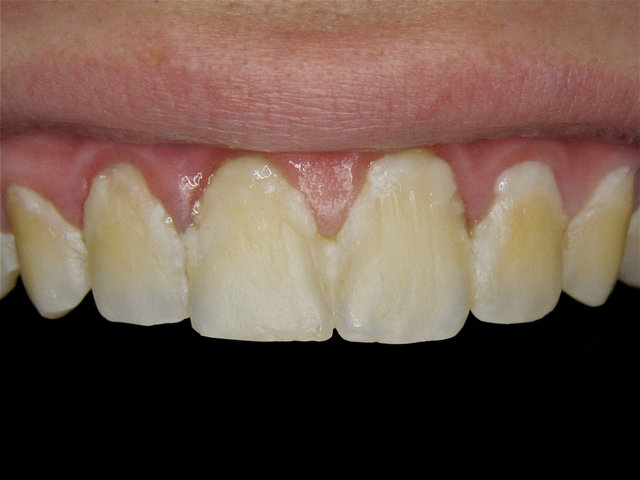
Gelblicher Zahnstein und entzündetes Zahnfleisch ...

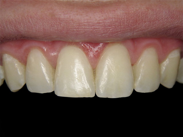
Gesunde Gingiva nach Dentalhygiene by CLINICDENT ✓

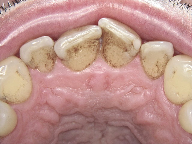
Gelblicher Zahnstein und entzündetes Zahnfleisch ...

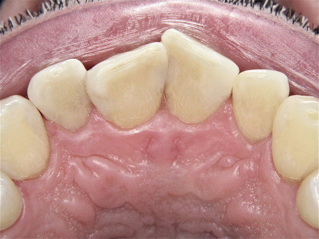
Gesunde Gingiva nach Dentalhygiene by CLINICDENT ✓

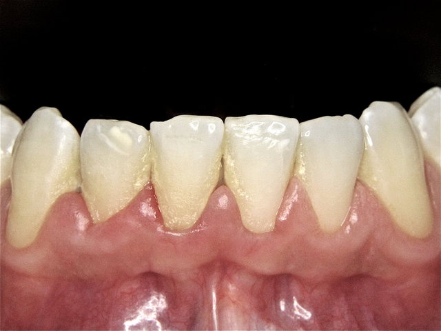
Verschmutzung, Karies und alte Füllungen ...

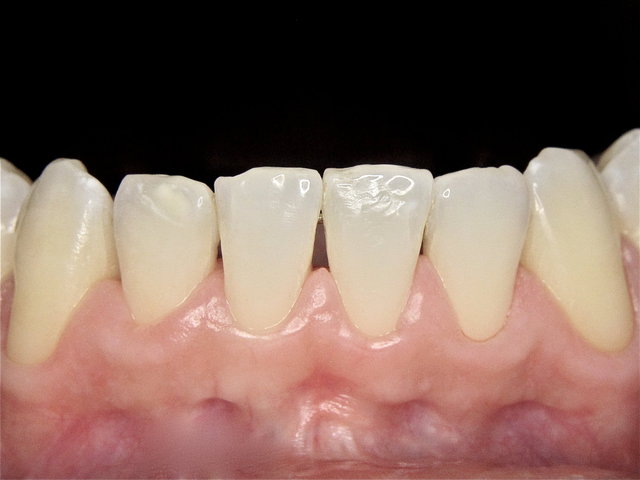
Dentalhygiene und Composit-Füllungen by CLINICDENT ✓

