
Subjektiv störende Front-Lücken ...

Composit-Schalen by CLINICDENT ✓

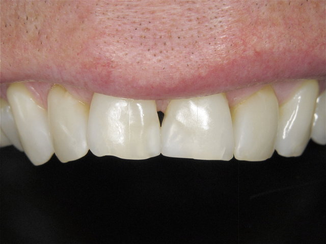
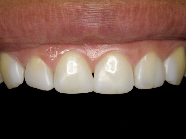
Ästhetisch kompromittierte Frontzahnfüllungen ...

Composit-Ersatz by CLINICDENT ✓

Subjektiv störende Front-Lücken ...

Composit-Ersatz by CLINICDENT ✓

Subjektiv störende Front-Lücken mit gelblichen Zähnen ...

Composit-Verblendung by CLINICDENT ✓

Störend schräge Schneidekanten ...

Composit-Aufbauten by CLINICDENT ✓

Ästhetisch magere gelbliche Füllungen ...

Composit-Füllungsaustausch by CLINICDENT ✓

Ästhetisch störend sichtbar braungelbe Füllungen ...

Composit-Ersatz by CLINICDENT ✓

Ästhetisch kompromittierte Frontzahn-Verbreiterungen ...

