
Alte Amalgam-Füllungen mit Sekundärkaries ...

Composit-Füllungen by CLINICDENT ✓

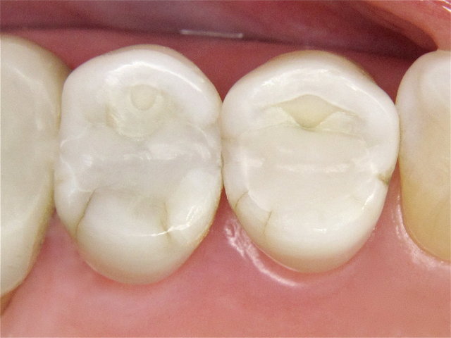
Alte undichte Amalgam-Füllungen mit Karies und Rissen ...

Composit-Füllungen by CLINICDENT ✓

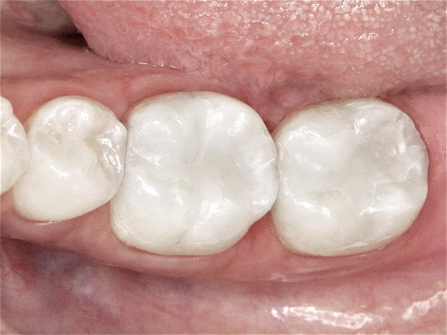
Höckerfrakturen neben Amalgam-Füllung ...

Composit-Aufbau by CLINICDENT ✓

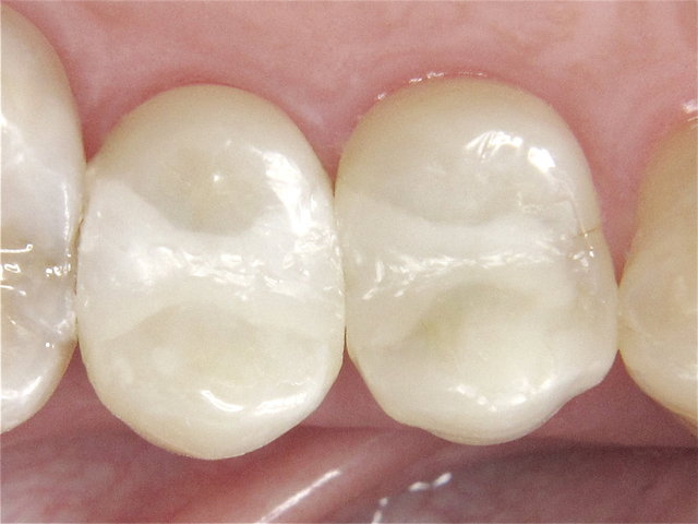
Alte Amalgam-Füllungen mit Sekundärkaries ...

Composit-Füllungen by CLINICDENT ✓

Randspalten in undichter Amalgam-Füllung ...

Composit-Füllung by CLINICDENT ✓

Amalgam-Plombe ...

Composit-Füllung by CLINICDENT ✓

Amalgam-Plombe mit Zahn-Rissen ...

Composit-Füllung by CLINICDENT ✓

Alte Amalgam-Füllungen mit Sekundärkaries ...

Composit-Füllungen by CLINICDENT ✓

Undichte dunkel verfärbte Amalgam-Füllungen ...

Composit-Füllungen by CLINICDENT ✓

Höcker-Fraktur neben Amalgamfüllung ...

Composit-Füllung by CLINICDENT ✓

In- und externe Risse nach Amalgam-Entfernung ...

Höckerfrakturen neben Amalgam-Füllung ...

Interner zentraler Riss nach Amalgam-Entfernung ...

Interner Riss ... (Kaugummi?)

Abfrakturierte natürliche Zahnwand & Putzdefekt ...

Zahnwand-Fraktur neben Amalgam-Füllungen ...

Zahnspaltung in zwei Hälften durch die Amalgamfüllung ...

Amalgamverfärbung ("Tigerauge") mit Putzdefekten ...

Undichte Amalgam-Füllung mit Riss ...

Undichte Amalgam-Füllung mit Riss ...

